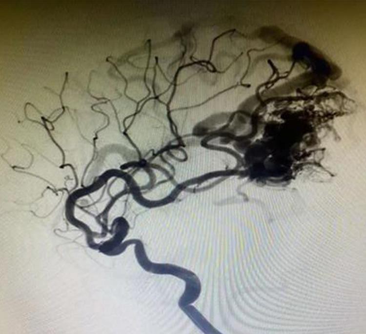
Laava -12 koljusisesed aneurüsmid vedela emboolne süsteem
Kui laavaTmKoljusisesed aneurüsmid vedelemboolne süsteem on ühendust võtmas vere või mis tahes vesilahusega, selle pind tahkeneb kohe ja moodustab kaitsekile. DMSO emboolses aines lahjendatakse ja hajutatakse veres, nii et Evohiga mähitud tantaalpulber sadestub ja tahkub väljastpoolt seestpoolt. Samal ajal hajutatakse laava süsterõhu all kaugele. Lõpuks moodustab see emboliseerimisasendis käsnaemboolse keha.

LaavaTmAneurüsmi emboliseerimissüsteem on valmistatud mitteliibast materjalist, seega on see kateetri ohutum ja mitte-kleepuv.
See on ainulaadne madala viskoossusega valem, millel on täielik mudelite vahemik laava -12, laava -18 ja laava -34.
Sellel on parem dispersioon ja tungimine. ja see võib sügavalt tungida kahjustusesse ja jõuda distaalsesse laeva.
Tantalumipulber on peenemad, aeglasemalt sadestuvad ja konkurentidega võrreldes selgemalt radiograafia.

MärkmedKoljusisesed aneurüsmid vedela emboolne süsteem
● Jälgige, kas laava vedela emboolne aine tahkub, kui jah, tuleb seda kõigepealt sulatada.
● Pange Vibraatorile laava vedela emboolne aine.
● Reguleerige vibraatori kõrgele tasemele.
● Vähem kui 20 minutit värisemiseks
● kuni selle kasutamiseni.
|
Tootekood |
Viskoossus |
Kirjeldus |
|
Laava -12 |
12 CST |
Madalam viskoossus, rohkem vedelat, distaalsete mikrovesiteede korral; |
|
Laava -18 |
18 CST |
Standard valem, üldine kasutamine; |
|
Laava -34 |
34 CST |
Suurem viskoossus suure vooluhulga veresoonte puhul. |











