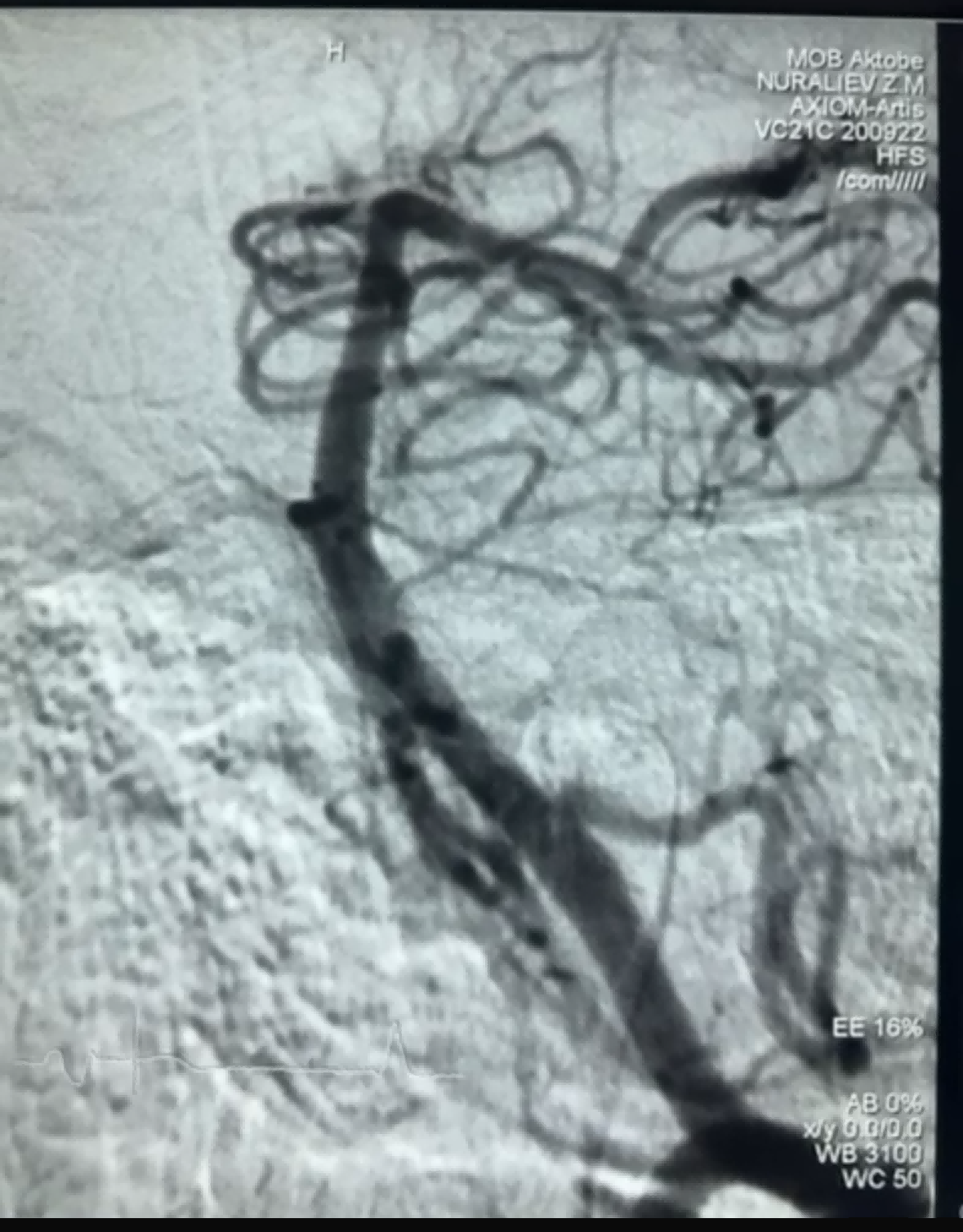
Hiljuti oli edukas trombektoomia juhtum, kus kasutati NeuroSafe Medical Co., Ltd. firma Dredger Stent Retriever. Dredger Stent Retrieveril on mitteinvasiivne pehme ots, mis vähendab oluliselt intimakahjustuse ohtu, ja sellel on ainulaadne erikujuline auk. disain, mis lööb verehüübed peamiselt kinni vahemuutused.





